Tối 25/4, thông tin từ Khoa Phẫu thuật Lồng ngực và Mạch máu, Bệnh viện Bạch Mai cho biết, các bác sĩ của Khoa đã thực hiện thành công một ca phẫu thuật đầy thách thức: Cắt bỏ hoàn toàn khối u trung thất khổng lồ, có kích thước lên tới 30x20 cm, nặng 3,6 kg. Đây là một trong những khối u lớn hiếm gặp trong y văn, đe dọa nghiêm trọng đến chức năng hô hấp của người bệnh.
Nam bệnh nhân 42 tuổi đến Bệnh viện Bạch Mai trong tình trạng đau tức ngực, khó thở tăng dần, đặc biệt khi nằm. Anh cho biết những triệu chứng này đã xuất hiện từ 2 năm trước, khiến cơ thể luôn mệt mỏi, không thể lao động nặng. Tuy nhiên, do nghĩ là biểu hiện thông thường, anh không đi khám cho đến khi cảm giác ngột ngạt và tức ngực trở nên không chịu nổi.
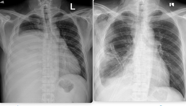
Kết quả chụp cắt lớp vi tính cho thấy một khối u khổng lồ nằm lệch trong khoang màng phổi phải, gây xẹp gần như hoàn toàn phổi bên phải và đẩy lệch cơ hoành. Các bác sĩ xác định đây là u bao sợi thần kinh Schwannoma – một dạng u lành tính nhưng rất hiếm gặp và có kích thước "ngoại cỡ".

Hình ảnh phim chụp X.quang trước và sau khi phẫu thuật. Hình trước phẫu thuật (bên trái).
Do khối u nằm sâu trong lồng ngực và kích thước quá lớn, ê-kíp phẫu thuật buộc phải cắt bỏ một đoạn xương sườn để mở rộng đường vào, tạo không gian thao tác. Trong quá trình mổ, khối u dính chặt vào các mạch máu lớn và tăng sinh mạch mạnh, khiến máu chảy ồ ạt.
Rất may, nhờ sự chuẩn bị kỹ lưỡng từ trước, các bác sĩ đã kiểm soát tốt tình hình, truyền bổ sung 2 đơn vị máu cho bệnh nhân và khéo léo bóc tách khối u ra khỏi các cơ quan quan trọng như tim, phổi, mạch máu lớn.
Sau khoảng 2 giờ căng thẳng, khối u nặng 3,6kg đã được lấy ra trọn vẹn, phổi phải của bệnh nhân giãn nở trở lại, phục hồi hình thái và chức năng hô hấp.
Chỉ 1 ngày sau mổ, bệnh nhân đã có thể ngồi dậy, đi lại nhẹ nhàng và xuất viện sau 4 ngày trong trạng thái khỏe mạnh, nhẹ nhõm.
"Tôi có cảm giác như được sống lại lần thứ hai. Cảm ơn các bác sĩ của Bệnh viện Bạch Mai đã mang lại cho tôi một cuộc đời mới", bệnh nhân xúc động nói.
Trường hợp này là một lời cảnh tỉnh cho rất nhiều người. Đó là đừng chủ quan với các dấu hiệu bất thường của cơ thể, đặc biệt là cảm giác mệt mỏi, tức ngực kéo dài. Việc khám sức khỏe định kỳ là vô cùng quan trọng để phát hiện sớm và điều trị kịp thời các bệnh lý nguy hiểm.
Tiến sĩ, bác sĩ Ngô Gia Khánh, Trưởng khoa Phẫu thuật Lồng ngực và Mạch máu cho biết: "U trung thất thường không có triệu chứng rõ ràng ở giai đoạn sớm. Vì vậy, khi thấy các triệu chứng như: Đau ngực dai dẳng, khó thở khi nằm, ho khan không rõ nguyên nhân thì người bệnh nên đi khám sớm".
U trung thất có thể lành tính hoặc là khối u ác tính. Hiện nay chưa có biện pháp nào để phòng ngừa bệnh u trung thất. Tuy nhiên, bạn có thể cải thiện cơ hội điều trị bằng cách khám sức khỏe tổng quát định kỳ, phát hiện sớm khối u nếu có. Nếu bạn bị khó thở, ho hoặc các triệu chứng khác kéo dài hơn hai tuần, hãy đến gặp bác sĩ để được thăm khám và điều trị sớm, tránh nguy cơ tăng nặng của bệnh.
U trung thất rất hiếm, chỉ xảy ra ở dưới 1% dân số. Hầu hết hình thành ở phần trước (phía trước) của trung thất. Các loại phổ biến nhất là u tuyến ức, u nang trung thất lành tính và u lympho.
Do vị trí của chúng, u trung thất không được điều trị có thể gây ra các vấn đề nghiêm trọng, ngay cả khi chúng không phải là ung thư. Các vấn đề này bao gồm di căn đến tim, màng ngoài tim (lớp lót xung quanh tim) và các mạch máu lớn (động mạch chủ và tĩnh mạch chủ). Các khối u ở trung thất sau (phía sau) của bạn có thể gây áp lực lên tủy sống của bạn.
Chỉ có khoảng 25% khối u trung thất là ung thư. Tuy nhiên, khả năng hoá ác tính tăng lên nếu nó ở phần trước của trung thất. Khoảng 60% khối u trung thất trước là ung thư.
Minh Hoa (t/h theo Tiền Phong, báo Tin tức)